לו ניתן היה, למשל, לסמן בצבעים את ביטוי הגנים בתאי הגוף, היו נפרסים לנגד עינינו תהליכים ביולוגיים חיוניים שכיום נסתרים מן העין. מהפכת הפלואורסנציה מאפשרת אמנם להאיר, במלוא מובן המלה, את הפעילות המתרחשת בתאים, אך היא אינה מאפשרת לצפות בתהליכים המתרחשים במעמקי הגוף

גם מעריצים מושבעים של סרטים בשחור-לבן אינם יכולים להתכחש לכך שכניסת הצילום בצבע הזריקה חיים חדשים לאמנות הקולנוע. וככל שמדובר בתיעוד המתרחש בגופנו, לצבע אין תחליף. לו ניתן היה, למשל, לסמן בצבעים את ביטוי הגנים בתאי הגוף, היו נפרסים לנגד עינינו תהליכים ביולוגיים חיוניים שכיום נסתרים מן העין. מהפכת הפלואורסנציה מאפשרת אמנם להאיר, במלוא מובן המלה, את הפעילות המתרחשת בתאים, אך היא אינה מאפשרת לצפות בתהליכים המתרחשים במעמקי הגוף, שכן הרקמות שבדרך מעמעמות את זוהרם של החלבונים הפלואורסצנטיים. במחקר חדש המתפרסם היום בכתב-העת המדעי Nature Biotechnology, הצליחו מדעני מכון ויצמן למדע לחדור מבעד לרקמות בדרך עוקפת: הם "הזריקו" חיים חדשים לסריקות האפרפרות של דימות תהודה מגנטית (MRI) ועקבו בצבעים אחר הביטוי של שני ״גנים מדווחים״ (reporter genes) שונים במקביל. "בעתיד ייתכן שסריקות MRI יוכלו להחליף בדיקות פולשניות או הוצאת דגימות מהגוף לבחינה תחת המיקרוסקופ", משרטט ראש צוות המחקר, ד"ר אמנון בר-שיר, את האופק שנפתח הודות לתגלית החדשה.
כאשר הוענק פרס נובל לכימיה לשנת 2008 על פיתוח החלבונים הפלואורסצנטיים, הודה אחד הזוכים, רוג'ר טסיין המנוח, כי לשיטה יש מגבלות, וכי בעתיד אפשר יהיה אולי להתגבר עליהן בעזרת טכנולוגיות אחרות כגון MRI. החזון שהתווה טסיין מבוסס על כך שבשונה מגלי האור, גלי הרדיו שעליהם מבוססת שיטת ה-MRI, אינם נחסמים על-ידי רקמות הגוף, גם כאשר מדובר ברקמות עבות במיוחד. עם זאת, סריקות ה-MRI המוכרות לנו כיום – בשחור-לבן – מותאמות בעיקר לדימות של אלמנטים מבניים, ואלה המתקדמות, המאפשרות קידוד בצבע, לא הותאמו למיפוי של פעילות הגנים בתאים. גם כאשר התאימו בעבר את ה-MRI למעקב אחר ביטוי גנטי, ניתן היה לעקוב אחר גן אחד בלבד בכל זמן נתון – כי פעילותו סומנה באמצעות נקודה כהה על רקע שחור-לבן. לפיכך, היכולת לעקוב אחר מספר גנים המתבטאים בו-זמנית – רצוי בעזרת צבעים שונים, כמו בתיוג פלואורסצנטי – עשויה להוות קפיצת מדרגה משמעותית בתחום הדימות.
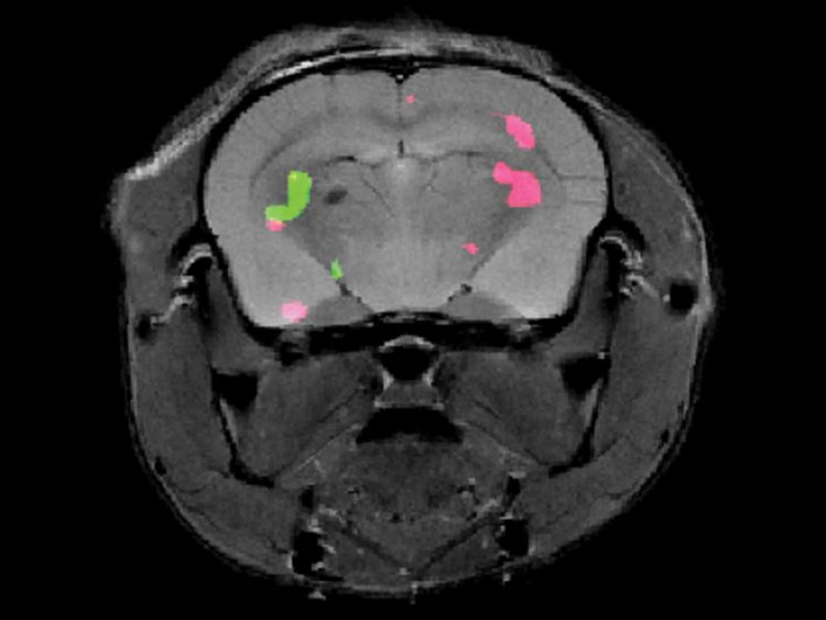
בקבוצתו של ד"ר בר-שיר במחלקה לכימיה מולקולרית ומדע חומרים החליטו להרים את הכפפה שזרק טסיין. צוות המחקר בהובלת מדענית הסגל ד"ר הילה אלוש-ארנון, ובשיתוף פעולה עם פרופ' שראל פליישמן וד"ר אולגה חרסונסקי מהמחלקה למדעים ביומולקולריים, פיתח שיטה בת שני שלבים: בשלב הראשון יצרו החוקרים שתי קבוצות של תאים מהונדסים גנטית, כאשר כל קבוצה נועדה לבטא אחד משני חלבונים ייעודיים. במקביל, הם יצרו שני סוגים של גלאים מולקולריים שנועדו לנוע במחזור הדם ולהצטבר אך ורק באותם תאים שביטאו את החלבונים המהונדסים. הגלאים תוכננו כך שיפעלו בתדרים נפרדים ויגרמו להופעת צבעים שונים בסריקות MRI.
לאחר השלמת ההכנות, יישמו החוקרים את השיטה בעכברי מעבדה שהוכנסו לאחד ממכשירי ה-MRI העוצמתיים ביותר הפועלים בעולם כיום. שני הצבעים הזוהרים לא איחרו להופיע: הסריקות שהתקבלו חשפו במדויק את מיקומם של התאים אשר מבטאים את שני החלבונים המהונדסים במוחות העכברים. בכך הדגימו החוקרים את היתכנות המעקב אחר ביטוי גנים שונים במעמקי המוח והגוף באמצעות MRI. מחקרי המשך ישאפו לפתח את השיטה למיפוי מספר רב יותר של גנים בו-זמנית.
שיטת דימות חדשה זו סוללת את הדרך לשימוש ב-MRI כדי לעקוב אחר מגוון רחב של תהליכים ביולוגיים בגוף החי לצורכי מחקר – ובעתיד אף לצרכים רפואיים. כך למשל שיטה זו עשויה לאפשר לחוקרים לעקוב אחר האופן שבו אזור מוחי אחד משפיע על משנהו. אם וכאשר תותאם השיטה לשימוש בבני-אדם, היא עשויה אף לאפשר לחוקרים ולרופאים להחליף בדיקות והליכים פולשניים. כך למשל, אפשר יהיה לנטר טיפולים חדשניים בסרטן הכוללים הזרקת תאים ולעקוב במקביל אחר התאים המוזרקים ואחר תאי הגידול.
במחקר השתתפו גם נישנט טירוקוטי, תלמיד מחקר במעבדתו של ד"ר בר-שיר; ד"ר יואב פלג, ד"ר אורלי דים, ד"ר שירה אלבק, ד"ר אלכסנדר ברנדיס וטבי מלמן מהמחלקה לתשתיות מחקר מדעי החיים; ד"ר ליאת אברם וד"ר טליה הריס מהמחלקה לתשתיות למחקר כימי; וד"ר נירבהיי ידב מאוניברסיטת ג'ונס הופקינס.























